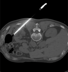
Radiological Sciences About Us Message from the Chair Outreach Contact Us Education & Training Residency Programs Diagnostic Radiology Residency Integrated Interventional Radiology Residency Independent Interventional Radiology Residency Fellowship Programs Resident & Fellow Resources Research Faculty Labs & Research Centers Divisions Abdominal Imaging Breast Imaging Cardiothoracic Imaging Musculoskeletal Imaging Neuroradiology Imaging Nuclear Medicine and Molecular Imaging Pediatric Imaging Vascular & Interventional Radiology Clinical Expertise Clinical Programs Faculty Cryoablation for Renal Cell Carcinoma (RCC) Home About Campus & Community Resources Communications & Public Relations Office Radiological Sciences: Clinical Expertise > Clinical Programs > Cryoablation For Renal Cell Carcinoma (RCC) The Role of Cryoablation in Managing Renal Cell Carcinoma With over 50,000 new cases of renal cell carcinoma (RCC) diagnosed annually in the United States, a significant number of which are incidentally discovered on routine imaging, there is a growing interest in managing these small lesions with minimally invasive techniques. Cryoablation has emerged as a compelling treatment alternative to traditional surgical interventions like partial nephrectomy. This technique offers key advantages, including preserving normal renal parenchyma and treating patients who are not suitable candidates for surgery due to age or other comorbidities. It is also associated with fewer serious complications and lower morbidity compared to surgery while maintaining favorable oncologic outcomes. Successful Percutaneous Cryoablation Our subspecialty fellowship-trained radiologists typically perform cryoablation when the RCC is confined to the kidney and is less than 4 cm in diameter. Other patient populations that are candidates for cryoablation include individuals with a solitary kidney or those with inherited conditions such as Von Hippel-Lindau syndrome. The procedure's ability to preserve as much renal tissue as possible is a major advantage for these patients. Certain anatomical considerations can make a percutaneous approach less ideal. Specifically, lesions located near the hilum or the central collecting system pose significant challenges for safe probe placement and for achieving a complete negative margin. While cryoablation is often used for smaller tumors, it can be applied to larger lesions when a patient is a poor surgical candidate. However, tumors exceeding 4 cm carry an increased risk of post-ablation hemorrhage. To mitigate this risk and improve outcomes in more complex cases, interventional radiologists employ new, specialized techniques, such as pre-ablation embolization followed by cryoablation performed during the same session. How Cryoablation Works The images below show an example case. On imaging, this patient was discovered to have an incidental 3 cm left renal mass. The intraprocedural CT shows the placement of the cryoablation probe and the low-density ice ball surrounding the lesion. The cryoablation probes are placed with ultrasound and CT guidance. Once the probes are in place, two freeze-thaw cycles are performed. The repeated freezing and thawing cycles disrupt the cell membrane and lead to cell death. An advantage of cryoablation is that the “iceball” can be visualized with non-contrast CT during the procedure to monitor the ablation zone. The probes are then removed, and a small bandage is applied to the puncture site. Patient Care Cryoablation is currently offered by our subspecialized interventional radiologists at UC Irvine. Please visit our healthcare website for more information on patient care services, including details on our dedicated healthcare providers, cutting-edge practices and compassionate approach to patient care. INTERVENTIONAL RADIOLOGY SERVICES